Mojoma
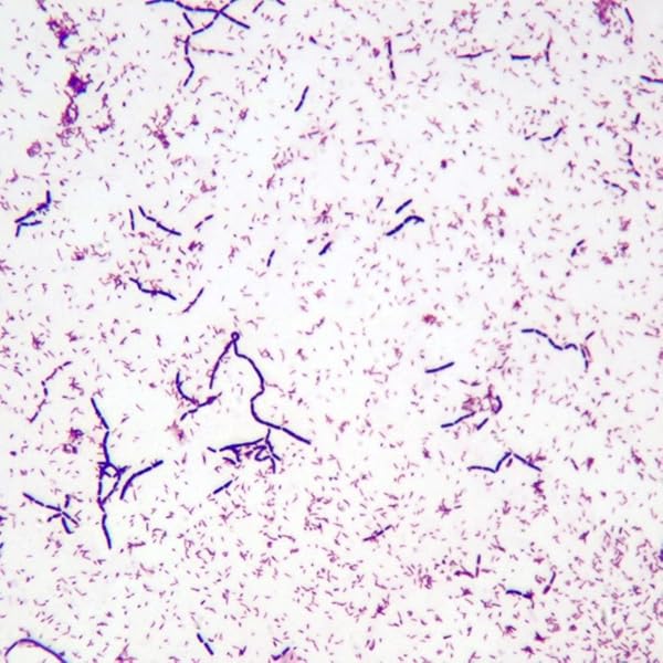
Spirilla Under Microscope - Observe using oil immersion microscopy.